![]() |
| my new boot |
I was walking down our stairs and this was the result. We have split stairs, the kind that makes a "U", as I was going down the first half I was two stairs from the turn and my foot slipped on the edge of the step and I landed full force on the foot being jammed into the landing step. The pain instantly shot up my leg. It was one of those were I was afraid to look at my ankle for fear it was broken. I heard a crackle and pop as it jammed down, but I was relieved to see that it looked normal just incredibly painful. I sat on the stair for a good five minutes waiting for the pain to go away. It didn't.
I figured I would just go down stairs and ice it until Jon got home from work in an hour or so. The kids could watch a movie and all would be good. I stood up and tried to put any weight on the foot and the pain was pretty bad, okay really bad, on the left side. I sat back down and tried to get a hold of Jon. I text him that I slipped down the stairs and my ankle wasn't okay. Shortie went down and put a movie on for the kids, and I sat on the stairs in frustration and pain.
I think it was only 10 minutes later, maybe 15, and Jon was home (so thankful for him working close and having a work that lets him leave for problems). He grabbed my crutches (the same ones I've had since 1998. Every time I thought my knee was better and we could get rid of them something would happen and I was back on those things. It seemed like a curse so I said I would never get rid of them. I was on those things more than not during high school) and headed to an ER urgent care. My sister was awesome and met me there so Jon could take the kids home, feed them, and put them to bed. She stayed with me as they figured everything out with my foot.
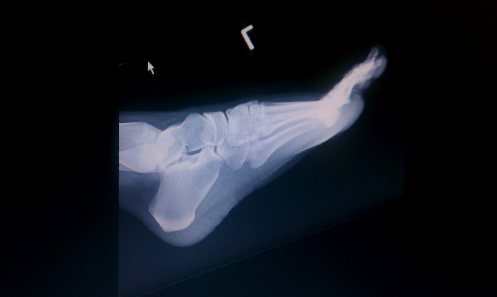
Conclusion - a severe sprain. They took a bunch of x-rays and the Dr believes there are no fractures or breaks, but the radiologist will call me today to confirm or give his opinion. I broke a blood vessel on the side and it formed an ugly bulge and is causing some extra pain. I was put in a walking boot and told to keep my foot up as much as possible, ice it, then heat pack it, then ice it again, pretty much all day for the first few days and then we will have to see how it heals.
As a girl that seems to be accident prone (I have a connective tissue disorder that makes my ligaments stretch far more than the 'normal' person which causes more accidents) I came prepared to the doctors - my own pair of crutches and my sisters walking boot from when she broke her ankle last year. So when the doctor said I need crutches and a walking boot I was good to go - he kinda chuckled at us, but hey it saved us a bunch of money and seeing how our insurance ended the day before I got hurt and our new insurance doesn't start for a month, saving money was awesome! Plus how many people can say they shared a walking boot with their sister?
![]() |
| they give you a copy of your x-rays on cd - how cool! my left knee... can you spot two of the screws in my knee? |
![]() |
| my ouchie foot |



No comments:
Post a Comment